
MyLab™C30 este un ecograf compact profesional, conceput pentru practica medicală zilnică, unde viteza, versatilitatea și optimizarea spațiului sunt esențiale. Oferă imagini ecografice de înaltă calitate și performanță constantă, fără compromisuri, datorită tehnologiilor avansate de imagistică și transductorilor preluați din sistemele premium.
MyLab™C30 este un ecograf compact, conceput special pentru a răspunde cerințelor practicii clinice zilnice: acces rapid la ecografie, versatilitate în utilizare și adaptare la spații restrânse, fără a compromite calitatea imaginii sau performanța sistemului.
Prin integrarea tehnologiilor avansate de imagistică și a transductorilor utilizați în sistemele de top Esaote, MyLab™C30 oferă imagini de înaltă calitate și informații clinice precise, într-un dispozitiv cu adevărat portabil.
Design & ergonomie:
Design compact, tip laptop, ideal pentru spații medicale aglomerate
Ecran principal de 15,6” dedicat imagisticii, rabatabil
Touchscreen ultrawide de 15” cu TGC digital
Panou de control tactil, ușor de curățat, conform standardelor de igienă
Interfață intuitivă bazată pe gesturi
2 conectori activi pentru sonde (până la 4 cu cărucior – opțional)
Baterie integrată cu autonomie extinsă (până la 5 ore – opțional)
Accesorii dedicate pentru transport (geantă, rucsac, carcasă rigidă)
Performanță imagistică:
Arhitectură ClearWave cu:
XBeamforming
XSmart Postprocessing
Calitate superioară a imaginii pentru structuri superficiale și profunde
Optimizare automată a imaginii (Adaptive B-Mode, eScan, eDoppler)
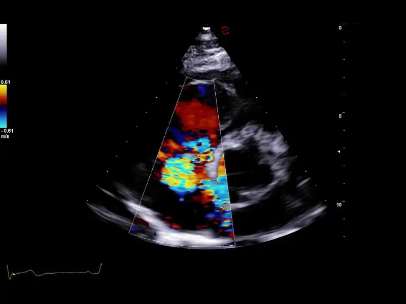
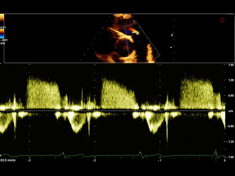
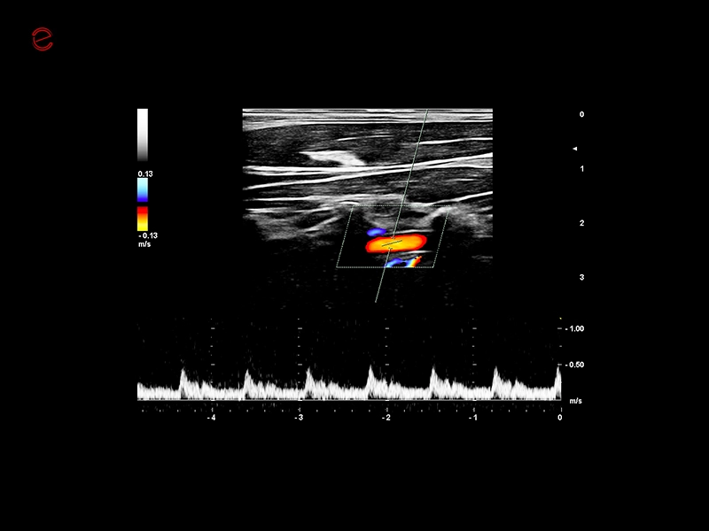
Aplicații clinice extinse: imagistică generală, cardiologie, vascular, musculo-scheletal (MSK), ficat (hepatologie), ginecologie și obstetrică.
Pachete clinice avansate
Ficat: QAI, QElaXto 2D, rapoarte multiparametrice
MSK: sonde liniare performante, Doppler sensibil, microV
Cardiologie: AutoEF, AutoCM, Strain, HyperDoppler
Ginecologie și Obstetrică: AutoOB, 3D/4D, sonde volumetrice VC 2-9
IMAGINI CLINICE











